Ecocardiografia /

Saiba mais sobre o exame ecocardiográfico

O que é Ecocardiografia?

Por Stephany Buba Lucina, DVM

A Ecocardiografia transtorácica é uma modalidade de exame não invasiva, que emprega ondas ultrassonográficas para avaliação da anatomia e função cardíaca. Além disso, essa técnica também permite avaliar a presença de líquido pleural e pericárdico, bem como de massas cardíacas ou próximas ao coração. No entanto, como qualquer exame completamentar, a ecocardiografia deve ser sempre interepretada em conjunto com o histórico, exame físico e demais exames complementares. O equipamento utilizado, assim como algumas particularidades do paciente, podem influenciar na qualidade da técnica, mas a experiência do operador é o quesito mais importante para a correta realização e interpretação dessa modalidade diagnóstica.

A técnica ultrassonográfica de diagnóstico baseia-se na emissão de ondas sonoras pulsadas e de alta frequência para o interior do tórax do paciente. Essas ondas são refletidas, refratadas e absorvidas pelas interfaces dos tecidos corporais e a parte que sofre reflexão é captada pelo transdutor e processada pelo equipamento para a formação da imagem.

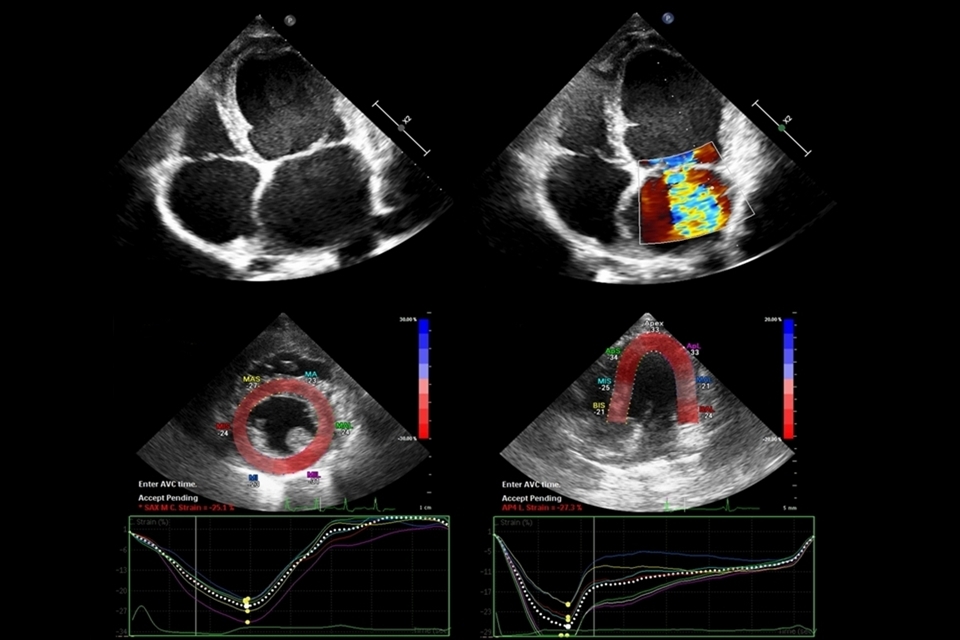
O exame ecocardiográfico de rotina inclui a avaliação subjetiva e as mensurações feitas a partir dos modos B, M e Doppler. O modo-B, também chamado ecocardiografia bidimensional, avalia o coração em planos compostos pela profundidade e largura. Nessa modalidade é possível visualizar alterações anatômicas ou defeitos congênitos. Já o modo-M fornece uma visão unidimensional do coração (apenas em plano de profundidade) em relação ao tempo, permitindo documentar as dimensões e o movimento do coração ao longo do ciclo cardíaco. Por fim, o método Doppler avalia a direção e a velocidade do fluxo sanguíneo, permitindo detectar fluxos anormais e turbulentos, calcular o débito cardíaco e demais parâmetros hemodinâmicos.

Para realização do exame ecocardiográfico o animal é posicionado e contido em decúbito lateral, sem a necessidade de tranquilização. Em raras situações o exame poderá ser realizado com o animal em estação. É necessário utilizar gel e depilar a região que será posicionado o transdutor para permitir um melhor contato do equipamento com o animal, propiciando imagem de melhor qualidade.

Sempre que houver suspeita de cardiopatia, o clínico solicitará o exame ecocardiográfico para investigar mais a fundo o problema. O Laboratório de Cardiologia Comparada do Hospital Veterinário da UFPR dispõe de uma equipe treinada para executar essa modalidade diagnóstica e dois equipamentos modernos, permitindo concluir sobre o provável foco de origem, causa, bem como sobre a necessidade ou não de intervenção terapêutica. Publicada em 11/07/2016